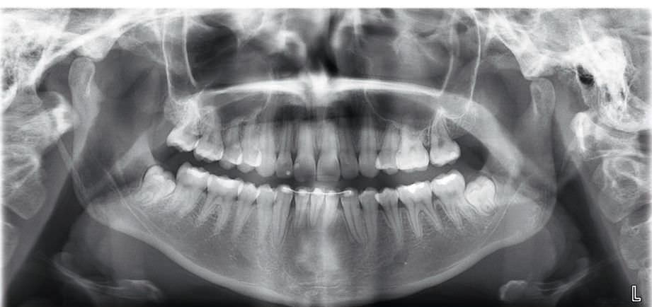
A radiografia panorâmica é um exame completo realizado no é um raio-x sobre o complexo maxilo-mandibular. Trata-se de uma das técnicas radiográficas mais solicitadas e difundidas em todas as especialidades da Odontologia, pois sua realização permite a visualização de todos os elementos dentais e suas estruturas anatômicas.

O exame é útil, prático e um dos principais auxiliares do exame clínico no diagnóstico das doenças dos dentes e dos ossos da face. De posse da radiografia panorâmica do paciente, o dentista pode visualizar todos os dentes, inclusive os que ainda não nasceram. Também é possível diagnosticar cáries, fraturas dentais, infecções ou outras doenças dos ossos que sustentam os dentes.

Confira as principais indicações para a realização deste exame:

– Pré-operatório de cirurgia buco-maxilofacial

 

– Parte da avaliação do suporte ósseo periodontal

 

– Avaliação dos terceiros molares, o popular siso

 

– Avaliação ortodôntica geral

 

– Avaliação de fraturas

 

– Verificação de anomalias dentais

Satisfeito com as informações sobre a Radiografia Panorâmica? Então agora vai uma dica sobre onde realizá-la: Na Oral Imagem! Nem pense duas vezes quando o seu dentista indicar! Com a gente você vai ter a certeza atendimento, qualidade do serviço e a experiência de quem está desde 2007 no mercado das radiografias ortodônticas! Colocamos à disposição dos nossos clientes todos os exames radiográficos intra e extra-orais com tecnologia digital. Estamos localizados na Barra da Tijuca, mais precisamente no Shopping Downtown, local de fácil acesso e estacionamento e segurança privativas. Precisou de exame ortodôntico? Venha já para a Oral Imagem!